Dental Smile Gallery 28387

Dentistry Before and After Photos

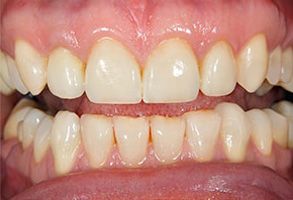
before

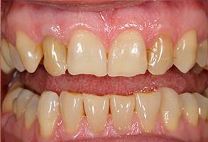
Before

John F. Ceraso, DMD | Night Guards, Oral Exams and Implant Dentistry

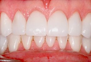
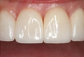
After

John F. Ceraso, DMD | Implant Dentistry, Dental Bridges and Dental Cleanings

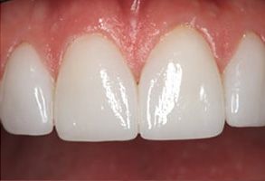
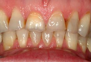
Before

John F. Ceraso, DMD | Oral Exams, Digital Impressions and Preventative Program

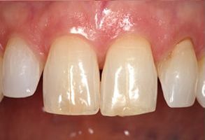
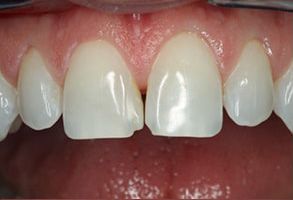
After

John F. Ceraso, DMD | Oral Exams, Night Guards and Periodontal Treatment

Before

John F. Ceraso, DMD | Dental Cleanings, Dental Fillings and Teeth in a Day

After

John F. Ceraso, DMD | Dental Bridges, Emergency Treatment and Night Guards

Before

John F. Ceraso, DMD | Digital Impressions, Emergency Treatment and Night Guards

After

John F. Ceraso, DMD | Dental Cleanings, Dental Fillings and Oral Exams

Before

John F. Ceraso, DMD | Dentures, E4D and Digital Impressions

After

John F. Ceraso, DMD | Periodontal Treatment, Teeth Whitening and Dental Cleanings

Before

John F. Ceraso, DMD | Veneers, Dental Fillings and Periodontal Treatment

After

John F. Ceraso, DMD | Implant Dentistry, Night Guards and Oral Exams

Before

John F. Ceraso, DMD | Teeth in a Day, Emergency Treatment and Teeth Whitening

After

Schedule a visit today!
Contact Us
Submit

Thank You!

We appreciate you taking the time to visit our site. We'll review your message and be in touch with you soon.

Continue
Dentist in Southern Pines NC

No Insurance?

We got you covered!